Patient Results & Testimonials
Real feedback from real patients. Dr. Hagan has over a decade of experience treating patients in the community.
Southern Maryland Orthodontic Studio serves families across the DC Metro region – and these are the experiences they’ve shared.
Join our mailing list to receive important updates and information. Opening Summer 2026.

What Our Patients Say
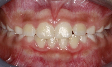
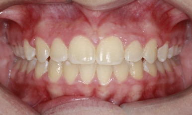
Our patients’ experiences speak to the personalized care Dr. Hagan brings to every patient’s case – from the first consultation through the final reveal.
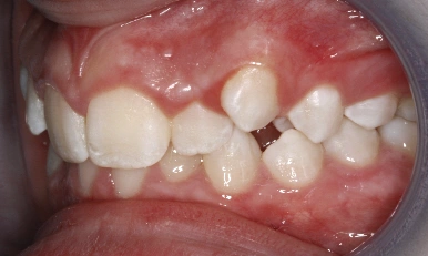
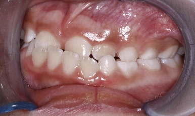
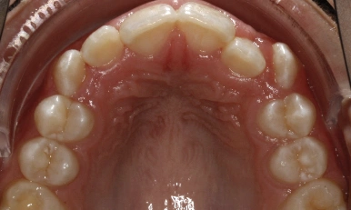
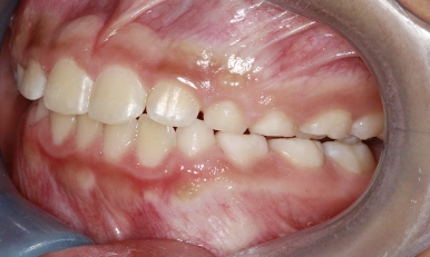
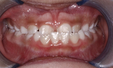
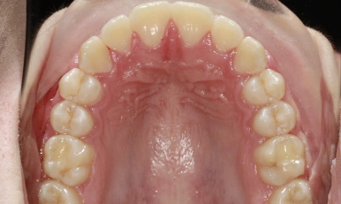
Patient Results
Start Your Smile Transformation
From braces to clear aligners, we’ll create a plan tailored for each patient’s goals. Explore our orthodontic services to find the right fit for you.
Treatments
Other Services
Contact Us
Join our mailing list to receive important updates and information.
Opening Summer 2026.
Communities we Serve
We treat patients from across Washington, D.C., Prince George’s, Anne Arundel, Charles, and Calvert counties, and more. Some communities we serve include:
